„In einer Welt, die überflutet wird von belanglosen Informationen, ist Klarheit Macht.“ 

- Yuval Noah Harari

Evolutionsspuren: Halsfisteln

Evolutionsspuren am Menschen. Angeborene Halsfisteln sind das Erbe des Kiemenapparats unserer Fisch-Vorfahren.

 

Fische haben direkte Verbindungen zwischen Mundhöhle und äußerer Haut - ihre Atmungsorgane, die Kiemen. Alle Wirbeltiere stammen evolutionär von Ur-Fischen ab. In der Embryonalentwicklung bilden alle Wirbeltiere einen Vorläufer des Kiemenbogen-Apparats ihrer Fisch-Vorfahren, der dann schrittweise zu den artspezifischen Kopf- und Halsorganen umgebaut wird.

 

In seltenen Fällen kann der embryonale Umbau des Kiemenbogenapparats unvollständig ablaufen. Dann entstehen direkte Verbindungen (Fisteln) zwischen Mundhöhle und äußerer Haut. Infolge der evolutionären Streckung des Halses sind das keine kurzen Kiemenspalten (wie bei Fischen), sondern langgestreckte Gänge. Diese Fistelgänge können bei allen höheren Wirbeltieren auftreten.

 

Angeborene branchiogene Halsfisteln beim Menschen sind ein Erbe unserer Abstammung von Ur-Fischen.

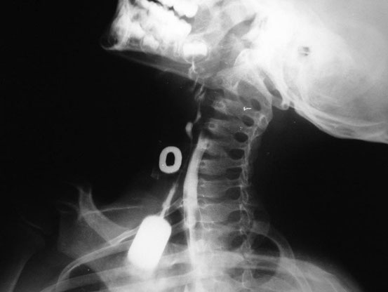
Röntgenaufnahme des Jungen aus dem Titelbild. Mit Kontrastmittel lässt sich der Fistelgang im gesamten Verlauf vom Hals bis zur Mundhöhle nachweisen. Die Fistelgänge werden in voller Länge entfernt, um Infektionen und Zystenbildung zu vermeiden.

Gastbeitrag von: Jori Wehner

zum vorherigen Blogeintrag                                                                         zum nächsten Blogeintrag 

 

Liste aller bisherigen Blogeinträge

Kommentare: 0

Impressum | Datenschutz | Cookie-Richtlinie | Sitemap
Diese Website darf gerne zitiert werden, für die Weiterverwendung ganzer Texte bitte ich jedoch um kurze Rücksprache.